FY2012 Annual Report

Marine Biophysics Unit

Assistant Professor Satoshi Mitarai

mbu FY2012 Annual Report 01

Abstract

Marine Biophysics Unit will develop forecasting system for the coastal ocean circulation processes around Okinawa and implement a validated connectivity assessment tool, coupling available modeling and observation techniques. This modeling tool will

  • Help marine biologists and geneticists estimate rates of gene flow among sites,
  • Enable public agencies to build and evaluate marine protected areas based on population connectivity, and
  • Provide marine ecologists with a modeling system for predicting the global and long-term dynamics of the marine ecosystem.

Marine Biophysics Unit was established on Sep 1, 2009 when Satoshi Mitarai joined OIST.

1. Staff

Researchers

  • Masako Nakamura (March 2010–)
  • Daisuke Hasegawa (October 2011–)

Technicians

  • Taichiro Sakagami (February 2010–)
  • Yukiko Murabayashi (July 2011–)
  • Shohei Nakada (August 2011–)

Research administrator

  • Chihiro Arasaki (July 2012–)

Short-term Students

  • Emile Trimoreau (September 2010–February 2011)
  • Flora Vincent (July 2011–December 2011)
  • Hirohito Yamazaki (August 2011–September 2011)
  • Fiona Francis (May 2012–August 2012)
  • MiHye Seo (October 2012–January 2013)

2. Collaborations

Theme: Larval dispersal of coral reef species

  • Type of collaboration: Joint research
  • Researchers: K. Sakai (University of the Ryukyus)*, D. Siegel, R. Warner, J. Caselle (University of California, Santa Barbara), P. Barbar (University of California, Los Angeles),

Theme: Larval dispersal of hydrothermal vent species

  • Type of collaboration: Joint research
  • Researchers: T. Maruyama, Y. Fujiwara, Y. Furushima and H. Watanabe (Japan Agency for Marine-Earth Science and Technology)*, S. Beaulieu, D. McGillicuddy, J. Ledwell, L. Mullineaux, S. Mills (Woods Hole Oceanographic Institution)

Theme: Regional ocean circulation modeling

  • Type of collaboration: Joint research
  • Researchers: J. McWilliams, J. Molemaker (University of California, Los Angeles), Y. Uchiyama (Kobe University)*, E. Gross (Stanford University)

Theme: Okinawa coastal ocean observing system

  • Type of collaboration: Joint research
  • Researchers: K. Hirate (Okinawa Prefectural Fisheries and Ocean Research Center)*, K. Muneda, T. Kimura (11th Regional Coast Guard Headquarters)*, S. Gallager (Woods Hole Oceanographic Institution), M. Toda (Okinawa Churaumi Aquarium).

* indicates that a joint research agreement has been established.

3. Activities and Findings

We investigated the coral settlement and community structure in the Central Ryukyu Island, using artificial settlement plates and belt-transect survey method in collaboration with Prof. Sakai (University of the Ryukyus). The amount of settled coral spats varied among the years. The settlement pattern was not associated with the adult coral distribution but was well related to coastal current patterns based on drifter survey. We will continue to survey and observe the settlement pattern to understand the determinant of spatial and temporal variability in settlement patterns.

With the support of Sasagawa Grants for Scientific Research, we started to examine the mechanisms of chronic outbreaks of the crown-of-thorns starfish, Acanthaster planci, along Onna coast. Targeting the importance of new recruitment for the chronic abundant population of the species, we observed distribution of juvenile along Onna coast in Okinawa with local fishermen. This project will be continued with the support of Okinawa Prefecture and TaKaRa Scientific Grants.

We also investigate the number of new recruits of deep-sea benthic animals by setting the artificial settlement plates at several hydrothermal vents at the Okinawa Trough in 2011. The plates were initially planned to retrieve in 2012. However, the sampling was unsuccessful due to typhoons. These insttuments will be retrieved in Nov 2013 and Feb 2014.

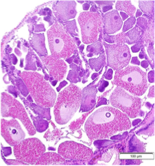
We analyzed population structure and reproductive trait of deep-sea limpets in the Okinawa Trough (Lepetodrilus nux) to speculate the planktonic larval dispersal processes. L. nux is an almost-ubiquitaous species in the Okinawa Trough. Lepetodrilus spp. were collected at four different vent sites in the Okinawa Trough at the cruise NT11-20. They shared a major haplotype of L. nux (Fig. 1). From the histological section, both ovary and testis had all four developmental stages of gamets at the same time, therefore, L. nux may produce gametes continuously over a certain period (Fig. 2). From the size frequency distribition, the population structures implied that population could be composed of distinct cohorts, thus recruitment of L. nux may be discontinuous (Fig. 3). This implies that larval recruitment could be affected by change in current directions over time. In summary, these data suggested non-seasonality in reproduction but non-continuity in recruitment, although, generally speaking, continuous reproduction could result in continuous recruitment. The contradiction between reproduction and recruitment patterns in L. nux may be due to complex ocean currents.

Fig. 1. Haplotype network of L. nux from the Okinawa Trough

mbu FY2012 Annual Report Figure 2-1
Fig. 2. Histological Section of genads Testis
mbu FY2012 Annual Report Figure 2-2
Fig. 2. Histological Section of ovary
mbu FY2012 Annual Report Figure 3
Fig. 3. Size frequency distribution of L. nux. Arroheads indicate mean size for each cohort

4. Publications

4.1 Journals

  1. Watson, J., Kendall, B., Siegel, D. and Mitarai, S. Changing landscapes, stochastic connectivity and metapopulation dynamics, American Naturalist, 180, 99–112, July 2012. (0)
  2. Nakamura, M. and Morita, M. Sperm motility of the scleractinian coral Acropora digitifera under preindustrial, current and predicted ocean acidification regimes, Aquatic Biology 15, 299–302, June 2012. (0)
  3. Harrison, C., Siegel, D., Mitarai, S., The role of filamentation and eddy-eddy interactions in marine larval accumulation and transport, under revision in Marine Ecology Progress Series, 472, 27–44, January, 2013
  4. White, J., Scholz, A., Rassweiler, A., Steinback, C., Botsford, L., Kruse, S., Costello, C., Mitarai, S., Siegel, D., Drake, P., and Edwards., C. Socioeconomics and bioeconomics in MPA network planning: A comparison of approaches used in California’s MLPA Initiative process, Ocean and Coastal Management, Ocean & Coastal Management 74 (2013) 77–89, March 2013.

4.2 Oral Presentations

  1. Nakamura, M. , “Larval dispersal and recruitment in hydrothermal vents -study in Okinawa Trough-”, 2012 MarVeL Workshop, OIST, Okinawa, Japan, May 10, 2012.
  2. Mitarai, S. , “Experience working with a large, multi-disciplinary team in studying connectivity within an MPA framework”, 2012 MarVeL Workshop, OIST, Okinawa, Japan, May 11, 2012.
  3. Hasegawa, D. , “Using Argo floats and gliders to map velocity and turbulence fields in the deep ocean”, 2012 MarVeL Workshop, OIST, Okinawa, Japan, May 11, 2012.
  4. Sakagami, T. , “Physical oceanography near Mariana and ROMS simulation”, 2012 MarVeL Workshop, OIST, Okinawa, Japan, May 11, 2012.
  5. Hasegawa, D. and Sheng, J., “How the tidal energy extraction affects on the tidal circulation and the mixing in the Bay of Fundy and the Gulf of Maine”, 2012 ASLO Aquatic Science Meeting, Lake Biwa, Shiga, Japan, July 8–13, 2012.
  6. Nakamura, M., Watanabe, H., Sasaki, T., Mitarai, S., “Gametogenesis and population structure of a hydrothermal vent gastropod Lepetodrilus nux at different vent sites in Okinawa Trough”, 13th International Deep-Sea Biology Symposium, Wellington, New Zealand, Dec 6, 2012.
  7. Mitarai, S., “Typhoons alter dispersal patterns in the Kuroshio current system”, 2013 ASLO Aquatic Sciences Meeting, New Orleans, Louisiana, USA, Feb 22, 2013
  8. Hasegawa, D., Hirate, K., Mitarai, S., “Developing a fast free-fall compact multi-sensor ocean profiler system for high resolution measurement”, The Oceanographic Society of Japan Spring Meeting 2013, Tokyo, Japan, Mar 24, 2013

4.3 Poster Presentations

  1. Nakamura, M., Watanabe, H., Furushima, Y., Fujiwara, Y., Maruyama, T., Sasaki, T., Seo, M., Satoh, K., Miyake, H., Kiseleba, L., Kawashima, T., Mitarai, S., “Larval dispersal processes of vent animals in Okinawa Trough ~reports on NT12-26 cruise and on-going studies”, Blue Earth 2013, Tokyo University of Marine Science and Technology, Tokyo, Japan, Mar 14-15, 2013

5. Intellectual Property Rights and Other Specific Achievements

5.1 External funding

  • Pursuit of Dream Grant, Canon Foundation, “Larval dispersal and metapopulation dynamics of hydrothermal vent species”, Lead PI: S. Mitarai (OIST), Co-PIs: N. Satoh, H. Kitano, T. Maruyama, Y. Fujiwara, Y. Furushima, H. Watanabe (Japan Agency for Marine-Earth Science and Technology), Amount: 38M Yen, Period: Apr 2011–Mar 2014.
  • Grants-in-Aid for Scientific Research C, Japan Society for the Promotion of Science, “Quantification of spatio-temporal variability in recruitment at hydrothermal vents”, Lead PI: M. Nakamura (OIST), Co-PIs: H. Watanabe (Japan Agency for Marine-Earth Science and Technology), T. Sasaki (University of Tokyo), Amount: 4.3M Yen, Period: Apr 2012–Mar 2016.
  • Sasagawa Grants for Scientific Research, “ Study on mechanisms of outbreaks of crown-of-thorns starfish Acanthaster planci in the Central Ryukyu Islands – relationship with larval transport by currents”, Lead PI : M. Nakamura (OIST), Co-PIs: None, Amount: 500K Yen, Period: Apr 2012–Feb 2013.
  • Strategic Information and Communications R&D Promotion Programme, Ministry of Internal Affairs and Communications, “Development of high-frequency radars for Okinawa coral reefs”, Lead PI: S. Fujii (University of the Ryukyus), Co PI: S. Mitarai, Amount: 19M Yen, Period: July 2012–Mar 2014.
  • TaKaRa Scientific Grants, “Study on the larval dispersal patterns of Crown-of-Thorns starfish along Onna coast, Okinawa.”, Lead PI: M. Nakamura (OIST), Co-PIs: None, Amount: 480K Yen, Period: June 2013-May 2015.

5.2 Honors and awards

  • 2011 Annual Award for an Outstanding Published Paper in Ecological Theory, “Turbulent dispersal promotes species coexistence” by H. Berkley, B. Kendall, S. Mitarai, and D. Siegel, Theoretical Ecology Section, Ecological Society of America.

6. Meetings and Events

6.1 International Study of Connectivity Between Hydrothermal Vents (Mariana Vent Larvae Workshop)

  • Organizers: Satoshi Mitarai (OIST), Stace Beaulieu (Woods Hole Oceanographic Institution), H. Watanabe (Japan Agency for Marine-Earth Science and Technology)
  • Dates: May 9–11, 2012
  • Place: OIST Campus
  • Funding sources: OIST and National Science Foundation, USA
  • Invited Speakers:
    • D. Adams (National Institutes of Health),
    • S. Allerano, S. Beaulieu, J. Kellner, J. Ledwell, D. McGuillicuddy, S. Mills, L. Mullineaux, J. Wheeler, W. Zhang (Woods Hole Oceanographic Institution),
    • E. Breuer (National Oceanic and Atmospheric Administration)
    • D. Butterfield (University of Washington)
    • B. Chadwick (Oregon State University)
    • R. Davis (Oregon Health and Science University)
    • J. Huber (Marine Biological Laboratory)
    • J. Ishibashi (Kyushu University)
    • S. Kojima, M. Sunamura, T. Yahagi, M. Seo (University of Tokyo), K. Komaki (Kanso)
    • A. Thurnherr, X. Liang (Lamont-Doherty Earth Laboratory)
    • D. Milton (InterRidge)
    • S. Mino (Hokkaido University)
    • H. Miyake (Kitasato University)
    • C. Moyer (Western Washington University)
    • F. Pradillon (French Research Institute for Exploration of the Sea)
    • S. Seama (Kobe University)
    • H. Watanabe, F. Sinniger (Japan Agency for Marine-Earth Science and Technology)
    • V. Tunnicliffe (University of Victoria)
    • R. Young (Massachusetts Institute of Technology).