MODEL(モデル)

ハエの目

Institute of Science and Technology Austria 
作者:Yvonne Vallis and Saliha Ece Sönmez

ブ-レインボウ

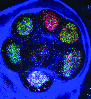
The Francis Crick Institute

腸には「第二の脳」があり、脊髄よりも多い約1億個の神経細胞があることをご存知ですか? この画像では、科学者たちが蛍光標識を使って、腸神経系として知られる「第二の脳」の美しさをとらえています。

この「ブレインボウ」と呼ばれる技術を用いた写真は、それぞれのタイプやその投射に応じて色付けされた成体マウス腸内のニューロンを撮影したもので、個々のニューロンを特徴付けることができます。例えばニューロン間の結合部である神経節が、これらの神経経路の接合部に見られる事が分かります。ここで示した腸神経系と呼ばれる細胞のネットワークは、環境の変化に対応したり、筋肉の動きや腺の分泌を調整するなど、さまざまな消化管機能を個別に制御しています。 
 
ブレインボウ技術は、複数色に色付けする遺伝子を持つウイルスベクター(アデノ随伴ブレインボウウイルス)を細胞に感染させることで、細胞内にその遺伝子を導入します。異なる細胞は、3-4色の蛍光タンパク質を異なる比率で発現するため、細胞の種類ごとに異なる色を発色するようになります。これらの蛍光は、共焦点顕微鏡と呼ばれる、個々のニューロンの投射を見るのに十分な高倍率の顕微鏡を使って観察することができます。

クリック研究所でのAlvaroとYuukiの研究では、腸神経系の発達、組織化、機能がどのように健康や病気に影響するかを理解することを目的としています。彼らの研究室では、胚における第二の脳の発達の誘導、発達初期における脳の成熟促進、そして成体における適応度を維持する遺伝子や分子シグナルを同定し、研究しています。これらのすべてが、 胃腸の調整機構について理解を深めるために役立ちます。

作者:Alvaro Castano Medina and Yuuki Obata

嗅覚ニューロンを持つ蚊のメスの触覚

The Rockefeller University 
作者:Leslie B. Vosshall 
画像提供:Margaret Herre

ストライプ

Institute of Science and Technology Austria 
作者:Isabelle Mayer, credit to Florian Gaertner for piloting the project

N=3の世界に迷い込む

沖縄科学技術大学院大学(OIST)
作者:Alessandro Alberto Trani

鼻腔迷路

沖縄科学技術大学院大学(OIST)

脳がにおいを伝達するために使用されるコードは鼻から生じます。 
 
におい分子が鼻で感知されると、特定の電気的活動パターンが生じます。コード化されたにおいに関する情報は、脳のニューロンによって認識され、最終的に動物の行動を導くために使われます。 
 
画像は共焦点顕微鏡で撮影したマウスの鼻腔の断面です。マウスが吸入した空気は、嗅覚ニューロンが並ぶ入り組んだ構造を通過します。ここで初めてにおい分子が検出され、脳で使われる電気信号に変換されます。 
 
各感覚ニューロンは専門家のように、何百種類もある検出器の中から選択的に1つのタイプの検出器を出現させます。その結果、各検出器が反応するにおい分子はほんの一握りです。ひとつひとつは少数のにおい分子にしか反応しないながらも、これらが集まって一連の検出器を形作ることで、多数のにおい分子を検出することができるのです。 
 
あるにおいに出会うたびに、そのにおいに同調する感覚ニューロンの特定の組み合わせが活性化されます。これは組み合わせコードと呼ばれます。この特定の電気活動パターン、すなわち化学情報の神経コードは、脳によって認識されて利用されます。OIST知覚と行動の神経科学ユニットの研究では、このような活動パターンがどのように洗練され、認識され、脳によって利用されるかを理解しようとしています。このようなしくみがどのように起こるかは、そのマウスがその瞬間に何を必要としているかによって異なります。 
  
作者:Cary Zhang and Izumi Fukunaga
画像提供:OIST Imaging Section

新たな始まり

Institute of Science and Technology Austria

病気と闘うため、ひとつの特異な協力体として活動する社会性昆虫を研究することは、彼らの社会免疫システム、さらには私たち自身の免疫システムの働きについて、多くの側面を教えてくれます。 

コロニー全体への感染や病気伝播のリスクを減らすため、アリは集団的な巣の衛生管理から隔離、相互衛生管理まで、さまざまな方法を利用しています。ISTAでは、Florian StrahodinskyとCremer グループの研究者らが、アリの社会的相互作用と個々の行動から生まれる集団的保護メカニズムを研究しています。 

画像はアリのコロニーの最初期段階を示しており、女王アリとその幼虫などが含まれています。アリ、ハチ、シロアリなどの社会性昆虫のコロニーは超個体とも呼ばれ、単一の繁殖単位として理解することができ、したがって驚くほど人体内の免疫システムに似ています。人間の体細胞と同様、アリの各個体は専門的な仕事を担い、互いに連携して行動します。アリは個々の衛生プロセスや自らの免疫システムによって身を守るだけでなく、大顎を使って巣やお互いの体を清潔に保ち、抗菌作用をもつ毒素を巣の中に散布します。 

女王アリの寿命は驚くほど長い:女王アリは種によっては最長で30年生き、研究者のキャリア全体に匹敵する長さを生きることもあります。 

作者:Florian Strahodinsky 

マウス小脳のプルキンエ神経細胞

The Rockefeller University
作者:Hourinaz Behesti, Taylor R. Fore, Peter Wu, Zachi Horn, Mary Leppert, Court Hull, and Mary E. Hatten
 

初期胚発生の魅惑的な色の泉

Institute of Science and Technology Austria 
作者:Gayathri Singaraju and Robert Hauschild

生体内イメージング

The Francis Crick Institute
作者:Colin Ratcliffe and Erik Sahai 
画像提供:CRUK. Fellowships to Colin Ratcliffe: 2019-2021 Fonds de recherche du québec-Santé, 2023-2025 EACR/AstraZeneca Fellowship
 

ミバエの精巣で精子を生成(青色の部分)

The Rockefeller University
作者:Evan Witt, Sigi Benjamin, Nicolas Svetec, and Li Zhao
 

線虫の力(C. エレガンス)

Institute of Science and Technology Austria 
作者:Michaela Mišová and Chris Li (The City University of New York)
 

カエルの幼体の脚

Institute of Science and Technology Austria 
作者:David Vijatovic
 

乱流への階段

沖縄科学技術大学院大学(OIST)

大規模数値シミュレーションにより、二次元の乱流が剛体の壁に近接したときに三次元の乱流に遷移する様子が示されました。 
 
大気中の大規模な流れは、その大きさにも関わらず、水平方向の長さが大気の高さよりもはるかに大きいため、二次元の乱流のように振る舞います。二次元の乱流の特徴は、エネルギーの一部が大きな渦に向かって流れることです。注入されたエネルギーが大きな渦から小さな渦へと移動する従来の三次元の乱流とは対照的です。 
  
今回、OISTの研究者らはイタリアのジェノバ大学およびトリノ大学との共同研究で、乱流は壁から大きく離れていても、壁の存在によって最終的に三次元になるため、剛体の表面上では二次元の乱流は維持できないことを示しました。 
 
この画像は、壁から離れた上部では、秩序だった大きな渦を特徴とする二次元の乱流を示しています。一方、下部では、壁が乱流を三次元化し、三次元の乱流の特徴である小規模な渦が存在しています。画像は数値シミュレーションに基づいてコンピュータにより作成されました。 

作者:Marco Rosti

銀河系のような染色体 

The Francis Crick Institute

DNAがどのように空間の中で折り畳まれるかをマッピングする:細胞の小さな核の中に4メートルのDNAを圧縮することは、テニスボールの中に40キロメートルという長さの極細の糸を収めるようなものです!  

ヒトゲノムは63億の塩基(1コピー)であり、そのコピー2つ分(2コピー)は4メートルという長さになります。これら4メートルのDNA鎖は、長さとしては200万分の1しかない小さな細胞核の中に収納されなければならないのです。DNAはランダムに折り畳まれるのではなく、特殊なタンパク質のグループによって緻密に定められた法則でループを描きコイル状に折りたたまれています。この緻密に定められたDNAの収納方法こそが、DNAのもつれを防ぎ、DNAを複製し、修復し、遺伝子にアクセスする多くの分子がDNAを利用できるようにしているのです。 
 
 
これらのマップは、出芽酵母(Saccharomyces cerevisiae)におけるこの収納の仕組みを、これまでにない解像度で示しています。暖色部分はDNAのループ間距離が近いセクション間のつながりを示し、一方、寒色部分にはそれが欠けていることを示しています。この画像を作成するために、クリックの染色体分離研究所の科学者たちは、培養フラスコで数十億個の酵母細胞を培養し、ゲノムを化学架橋剤で空間に固定しました。その後、マイクロCという技術を用いて、ゲノム全体の相互作用点を高解像度でマッピングし、ハイスループットシーケンシングによってゲノムの構造を明らかにしました。 

この画像は、DNAの相互作用を詳細に示す5つのゲノムマップをつなぎ合わせて作成されたもので、宇宙望遠鏡が画像をつなぎ合わせて広大な宇宙の高解像度マップを作成するのと同じようなものです。 
 
この研究は酵母で行われていますが、ヒトゲノムも同様の構造を形成しており、生物学的プロセスが普遍的に保存されていることを示しています。遺伝子やその他のゲノム要素がどのように配置され、相互作用を可視化することは、遺伝的制御の複雑さを解明するのに役立ちます。 

作者:Thomas M. Guérin, Christopher Barrington, and Frank Uhlmann 
画像提供: ゲノム相互作用データの表示に使用したソフトウェア: Kerpedjiev et al. (2018) HiGlass: Web-based visual comparison and exploration of genome interaction maps. Genome Biology, 19:125.

光あれ

Institute of Science and Technology Austria 
作者:Silvia Jamrichova
 

細胞内のリサイクルが行われている様子

The Francis Crick Institute 
作者:Stephane Mouilleron 
画像提供:このタンパク質は、Martina Wirthが発現させ、Francis Crick Institute Structural Biology Science Technology Platform for the Sharon Tooze LaboratoryのStephane Mouilleronが結晶化しました。

有理点の証明

Institute of Science and Technology Austria

純粋数学は時に、一見すると単純そうな問い掛けから、何十年も前の考えや仮説に対する複雑な解答を導き出すことがあります。 
 

純粋数学の研究は非専門家には奇妙に見えるかもしれませんが、数やその他のあらゆる数学的概念の間での隠れた繋がりを明らかにすることで、世界を理解するための新たな道が見えてきます。ISTAのTim Browning教授は、解析的整数論と呼ばれる数学の一分野を研究し、その根底にある原理を深く掘り下げています。 

数論の分野では、ISTAのTim Browning教授や、教授の同僚であるParis Diderot大学のRégis de la Bretèche、Grenoble 大学のEmmanuel Peyreといった数学者たちが、数が互いに持ちうる特定の関係に注目しており、この関係は多項式で表されます。例えば、上の画像を作成するため、3人の研究者は方程式y2+z2=x3-xを研究しました。ここで、x、y、zは3次元空間の座標と解釈できます。方程式を満たす、左辺と右辺を等しくするx、y、zの組み合わせは、すべて方程式の解と呼ばれます。そしてこのような解は、それぞれ3次元空間の点を表します。上の画像は、3D空間における別々の解のグループが二つあり、それぞれが金色の丸みを帯びた円錐形の表面を形成している様子を示しています。 

さらに、上記の数学者たちはこれらの解を見つけただけでなく、それらの解の組(x、y、z)が、分母と分子が整数となるような分数の形で表せるという数学的予想を証明しました。画像の表面上の赤い点と緑の点は、これらの有理数の解を示しています。これらが同じではないことに注意してください。3人は、それぞれの面(左と右の円錐)が同じ数の点を持つことを証明したのです。 

単純な算数から複雑な解析まで、数学は抽象的であるだけでなく、経済学からプログラミング、政治に至るまで、社会の多くの分野や部分で役立っています。あなたは日常生活で、単純な数学と複雑な数学のどちらを使いますか? 
  
作者:Régis de la Bretèche, Tim Browning, and Emmanuel Peyre 2012, committed through Institute of Science and Technology Austria 
 

腸リンパ節の胚中心

The Rockefeller University

腸リンパ節を研究することで、免疫系が腸内に生息する無数の微生物をどのように管理しているかが分かります。 

腸内環境は、何百種類もの細菌が、たまたまランチに混じってやってきた微生物と共存している波乱万丈の場です。ロックフェラー大学のDaniel Mucidaとチームは、免疫システムによる微妙なトレードオフの中で、どの微生物の繁殖を許し、どの微生物の拡散を淘汰するのか、それらが私たちの健康にどのような影響を与えるのかを調査しています。画像は、このバランスにどのような影響を与えるかを調べる目的で研究中のマウスの腸リンパ節です。
 
人間の腸の内壁は約300平方メートルの面積があり、外界にさらされる最大の体表面を形成しています。腸内には推定10兆個の細菌が生息し、日々さらに多数の細菌が侵入してきます。科学者らは長年、多くの刺激に直面している腸の免疫システムは、個体数のコントロールや外敵からの防御に対して、非常に鈍感なアプローチをとっているのではないかと考えてきました。ところが最近の研究によると、腸の局所免疫系は非常に正確で、特定の微生物種を狙い撃ちするような抗体を作り出すことができると考えられてきています。この発見は、私たちの免疫系が、健康や病気と密接に関係する体内の微生物動物園を形成する上で、積極的な役割を果たしている可能性を示唆しています。 

 あなたの体内や皮膚には、あなたが生きていくために必要な微生物が何兆個も住んでいます。微生物はあなた自身の一部なのでしょうか? このような宿主とその微生物すべての集合体を、科学者は「ホロビオント」と呼んでいます。 
  
作者:Carla R. Nowosad, Luka Mesin, Tiago B. R. Castro, Christopher Wichmann, Gregory P. Donaldson, Tatsuya Araki, Ariën Schiepers, Ainsley A. K. Lockhart, Angelina M. Bilate, Daniel Mucida, and Gabriel D. Victora 

Wiseanaイリドウイルスのクライオ電子顕微鏡による再構成像

沖縄科学技術大学院大学(OIST)
作者:Nadishka Jayawardena
 

ゼブラフィッシュの感覚構造

The Rockefeller University 
作者:Agnik Dasgupta, Caleb C. Reagor, Sang P. Paik, Lauren M. Snow, Adrian Jacobo, and A. James Hudspeth
 

腸オルガノイド

The Francis Crick Institute

ミニ腸に光を当てる 研究室の皿の中で培養されるヒト細胞は、科学者が発生や病気をモデル化するための重要な研究ツールです。オルガノイドは、科学者がヒトの臓器がどのように成長し、治療にどのように反応するかを調べることを可能にする、最近の生物医学研究のブレークスルーのひとつです。 

これは、研究室でシャーレの中で培養されたオルガノイド(ミニ腸)の蛍光画像です。基本的に、幹細胞が3次元的に成長し、特定の臓器(この場合は小腸)の構造と機能を再現する小さな細胞塊を形成したものです。フランシスクリック研究所の幹細胞・癌生物学研究室の研究者たちは、腸オルガノイドを使って、健康な腸を維持するために幹細胞がどのようにプログラムされているのか、また癌化すると何がうまくいかなくなるのかを研究しています。 
 
この画像は、さまざまな色の蛍光マーカーを腸オルガノイドに導入し、核など細胞のさまざまな部分を蛍光標識することで作成されました。共焦点顕微鏡を使い、科学者たちは蛍光分子をレーザーで励起させ、ミニ腸管構造のさまざまな領域を可視化し、識別できるようにしました。 
 
これらの細胞が健康な腸でどのように機能し、腫瘍が発生するとどうなるかを理解することは、科学者たちが腸癌治療のための特効薬を開発するのに役立ちます。さらに、この知識を利用して、臓器移植や新薬の試験に使用するための代替ヒト腸組織を研究室で培養することもできます。 

作者:Vivian Li Lab

小さな魚、大きなインパクト

The Francis Crick Institute 
作者:Rashmi Priya and Srinivas Allanki 
画像提供: この画像は、The Company of Biologists発行のDevelopment誌に初掲載されました。The zebrafish issue: 25 years on, Volume 148, Issue 24, 16 December 2021. PMID: 34913466  

MODEL(モデル)