メインコンテンツに移動
ロゴ
    • OIST とは
    • 学生・教職員数等
      • 学長
      • 学長メディアライブラリー
      • 学長主催講演会
      • 学長オフィス
      • プレジデント・カウンシル
      • リーダーシップ & ガバナンス
      • 役員・大学幹部
      • 理事会
      • 評議員会
      • 組織図
      • 歴代理事長・学長
      • 基本方針・ルール・手続き
      • 沿革
      • 沖縄科学技術基盤整備機構
      • 尾身幸次
    • 発行物・レポート
      • 調達情報
      • 工事関連の調達・入札情報
      • 物品・役務等の調達・入札情報
      • 調達規則類
      • お取引先の皆様へ
      • 海外からの搬入/営業について
      • キャンパスへの搬入/営業
      • 電子入札システム
    • 不正通報ホットライン
      • 情報公開
      • 基本情報
      • 情報公開制度のご案内
      • 個人情報保護制度のご案内
      • 私立学校法に規定する書類
      • 学校教育法等に規定する情報の公表
      • 情報公開法第22条及び施行令第12条に基づく情報提供
      • 公文書管理法に基づく情報公開
      • 個人情報保護法第75条第1項に基づく情報公開
      • その他の公表情報
      • OISTにおける安全衛生
      • OISTの安全衛生体制について
      • 保健センター
    • OISTクリニック
      • 個人情報保護への取り組み
      • 個人情報ファイル簿
    • OISTの研究
      • 研究者・研究ユニット
      • 教員
      • 研究ユニット
      • サイエンス・テクノロジー・グループ
      • ぶりぶし(群星)フェローシップ
      • オープンセンター
      • OIST量子技術センター
      • Open Center for Energy
      • 研究活動
      • 専門分野
      • カンファレンス・ワークショップ
      • 年次報告書
      • 研究ニュース
      • 研究施設・設備
      • コアファシリティ
      • マリン・サイエンス・ステーション
      • OIST Sea neXus
      • OIST Land neXus
      • 研究支援
      • 研究基金
      • 図書館
      • 機関リポジトリ
      • コアファシリティ
      • プロフェッショナル育成支援
      • 産学官金連携
      • 鈴木祥平研究安全基金
      • グラント・学術連携
      • ビジタープログラム
      • 学術連携
      • 機関グラント
      • Other Grant Initiatives
      • プロボスト・ディーン
      • プロボストオフィス
      • 研究担当ディーンオフィス
      • 研究科長オフィス
      • 研究コンプライアンス
      • 研究公正の推進
      • 安全で責任ある研究
      • データ管理
      • 法令順守への取り組み
  • 教育
  • 入学案内
  • イノベーション
    • ニュース
    • メディア掲載
    • ソーシャルメディア
    • ポッドキャスト
    • 報道関係者の皆様へ
    • People of OIST
    • 一般・学校向け活動
    • 地域連携・科学教育ニュース
    • 小学校向け
    • 中学校向け
    • 高校向け
    • 大学向け
    • 一般向け
      • 展覧会・インスタレーション
      • バクテリオファージ(「細菌を食べる」ウイルス)をクライオ電子顕微鏡で可視化
      • Images of Science
      • 沖縄への貢献
      • 【新型コロナ】社会貢献プロジェクト
      • OISTer スポットライト
    • SDGs
    • OISTサイエンススタジオ
      • キャンパス
      • リソースセンター
      • OISTクリニック
      • レクリエーションサービス
      • ショッピング・レストラン
      • 保育・幼児教育
      • ハウジング
      • コミュニティ施設
      • 研究施設
      • カウンセリング
    • アクセス・マップ
    • 駐車場
    • 会議施設
    • 東京オフィス
    • シーサイドハウス
    • マリン・サイエンス・ステーション
    • 採用情報
    • 准教授および教授の公募
    • バックグラウンドチェック
    • 赴任サポート
    • ダイバーシティ
    • プロフェッショナル育成支援とインクルージョン
    • よくあるご質問
  • 教育
  • 入学案内
  • イノベーション
  • OIST とは
  • 学生・教職員数等
  • 発行物・レポート
  • 不正通報ホットライン
  • OISTクリニック
  • OISTの研究
  • ニュース
  • メディア掲載
  • ソーシャルメディア
  • ポッドキャスト
  • 報道関係者の皆様へ
  • People of OIST
  • 一般・学校向け活動
  • 地域連携・科学教育ニュース
  • 小学校向け
  • 中学校向け
  • 高校向け
  • 大学向け
  • 一般向け
  • SDGs
  • OISTサイエンススタジオ
  • アクセス・マップ
  • 駐車場
  • 会議施設
  • 東京オフィス
  • シーサイドハウス
  • マリン・サイエンス・ステーション
  • 採用情報
  • 准教授および教授の公募
  • バックグラウンドチェック
  • 赴任サポート
  • ダイバーシティ
  • プロフェッショナル育成支援とインクルージョン
  • よくあるご質問
  • 学長
  • 学長メディアライブラリー
  • 学長主催講演会
  • 学長オフィス
  • プレジデント・カウンシル
  • リーダーシップ & ガバナンス
  • 役員・大学幹部
  • 理事会
  • 評議員会
  • 組織図
  • 歴代理事長・学長
  • 基本方針・ルール・手続き
  • 沿革
  • 沖縄科学技術基盤整備機構
  • 尾身幸次
  • 調達情報
  • 工事関連の調達・入札情報
  • 物品・役務等の調達・入札情報
  • 調達規則類
  • お取引先の皆様へ
  • 海外からの搬入/営業について
  • キャンパスへの搬入/営業
  • 電子入札システム
  • 情報公開
  • 基本情報
  • 情報公開制度のご案内
  • 個人情報保護制度のご案内
  • 私立学校法に規定する書類
  • 学校教育法等に規定する情報の公表
  • 情報公開法第22条及び施行令第12条に基づく情報提供
  • 公文書管理法に基づく情報公開
  • 個人情報保護法第75条第1項に基づく情報公開
  • その他の公表情報
  • OISTにおける安全衛生
  • OISTの安全衛生体制について
  • 保健センター
  • 個人情報保護への取り組み
  • 個人情報ファイル簿
  • 研究者・研究ユニット
  • 教員
  • 研究ユニット
  • サイエンス・テクノロジー・グループ
  • ぶりぶし(群星)フェローシップ
  • オープンセンター
  • OIST量子技術センター
  • Open Center for Energy
  • 研究活動
  • 専門分野
  • カンファレンス・ワークショップ
  • 年次報告書
  • 研究ニュース
  • 研究施設・設備
  • コアファシリティ
  • マリン・サイエンス・ステーション
  • OIST Sea neXus
  • OIST Land neXus
  • 研究支援
  • 研究基金
  • 図書館
  • 機関リポジトリ
  • コアファシリティ
  • プロフェッショナル育成支援
  • 産学官金連携
  • 鈴木祥平研究安全基金
  • グラント・学術連携
  • ビジタープログラム
  • 学術連携
  • 機関グラント
  • Other Grant Initiatives
  • プロボスト・ディーン
  • プロボストオフィス
  • 研究担当ディーンオフィス
  • 研究科長オフィス
  • 研究コンプライアンス
  • 研究公正の推進
  • 安全で責任ある研究
  • データ管理
  • 法令順守への取り組み
  • 展覧会・インスタレーション
  • バクテリオファージ(「細菌を食べる」ウイルス)をクライオ電子顕微鏡で可視化
  • Images of Science
  • 沖縄への貢献
  • 【新型コロナ】社会貢献プロジェクト
  • OISTer スポットライト
  • キャンパス
  • リソースセンター
  • OISTクリニック
  • レクリエーションサービス
  • ショッピング・レストラン
  • 保育・幼児教育
  • ハウジング
  • コミュニティ施設
  • 研究施設
  • カウンセリング
  • OISTへのご寄付
  • ニュース
  • お問い合わせ
  • OISTメンバーログイン
OIST Logo
沖縄科学技術大学院大学
  • English
  • |
  • 日本語
header-logo-small
Select Language
検索
  • English
  • |
  • 日本語
close language switcher
search
close search

パンくず

ホーム

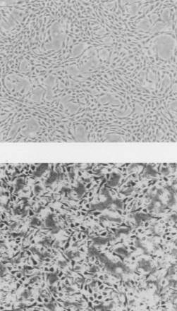
ERBB2による細胞がん化

正常細胞(写真上)とERBB2(写真下)でがん化した細胞

正常細胞(写真上)とERBB2(写真下)でがん化した細胞

 

日付:
2014年9月24日

Copyright OIST (Okinawa Institute of Science and Technology Graduate University, 沖縄科学技術大学院大学). Creative Commons Attribution 4.0 International License (CC BY 4.0).

全解像度画像をダウンロード
シェア:
x icon facebook icon linkedin icon mail icon

Related Images

Distinguished Professor Hirotaka Sugawara with Order of the Sacred Treasure

瑞宝中綬章を受章した菅原寛孝教授

星名研究員と山本教授

星名研究員と山本教授

星名直祐研究員(左)と山本雅教授(右)
大脳基底核神経回路

大脳基底核神経回路

緑色に光る部分でPCDH17が発現しているのが分かる。
Zebrafish (Danio rerio)

ゼブラフィッシュ

コナカイガラムシ

農業害虫として知られるコナカイガラムシでは、共生器官の細胞内に、極度にゲノムの縮小した2種類の細菌が入れ子状になって共生している。 出典: Cell Volume 153 Issue 7, photo by Alex Wild (http://alexanderwild.com/) 
OISTへのご寄付 基本方針・ルール・手続き 情報公開 監事 不正通報ホットライン ソーシャルメディア アクセス サイトマップ
Linkedin icon
Linkedin
Flickr icon
Flickr
Facebook icon
Facebook
YouTube icon
YouTube
Instagram icon
Instagram
Vimeo icon
Vimeo
X (Twitter) icon
X (Twitter)
Bluesky icon
Bluesky
LINE icon
LINE
RSSフィード icon
RSSフィード

header-logo
沖縄科学技術大学院大学(OIST)
〒904-0495 沖縄県国頭郡恩納村字谷茶1919-1
お問い合わせ
OISTメールマガジンにご登録ください 沖縄科学技術大学院大学の教育研究活動は学際的で、科学技術研究の最先端を目指しています。
登録
データ保存に関するお知らせ
ご入力いただいた情報は、日本国外にあるサーバー上で保存・処理されます。OISTは、日本の個人情報保護法(APPI)を含む適用法令を遵守し、適切な保護措置を講じた上で、皆さまの情報を厳格に取り扱います。

Copyright © 2011-2026 沖縄科学技術大学院大学
OISTメンバーログイン プライバシーポリシー