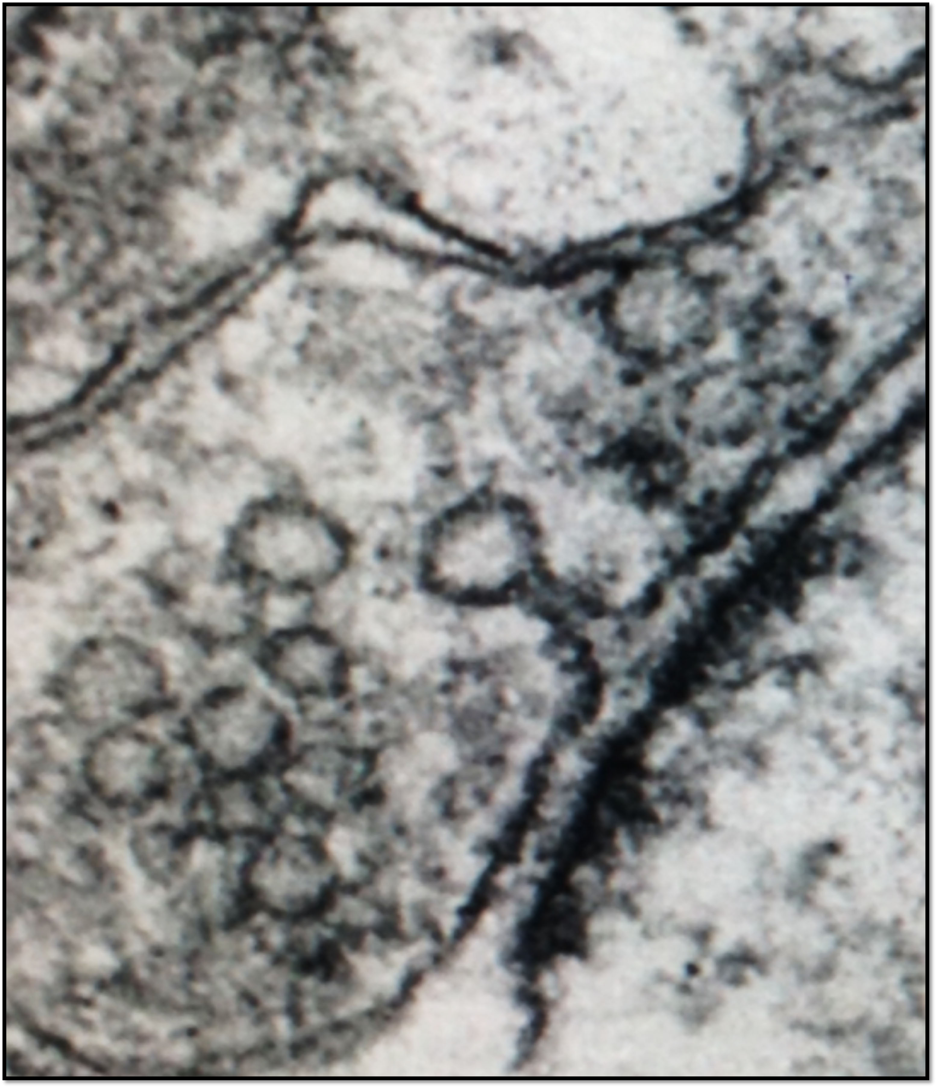
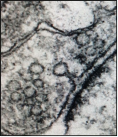
Photo of a synapse and synaptic vesicles
The small, round circles in this image are synaptic vesicles (SV). SVs store neurotransmitters and release them upon electrical stimulations. They work to ensure that information is transferred through synapses and are thus very important for neurotransmission.
The small, round circles in this image are synaptic vesicles (SV). SVs store neurotransmitters and release them upon electrical stimulation. They work to ensure that information is transferred through synapses and are thus very important for neurotransmission.
Date:
15 December 2020
Credit:
Taoufiq Z. & Sasaki T. 2016
Copyright OIST (Okinawa Institute of Science and Technology Graduate University, 沖縄科学技術大学院大学). Creative Commons Attribution 4.0 International License (CC BY 4.0).
Tags
Research
Researchers