Skip to main content
Logo
    • About OIST
    • Facts and Figures
      • President
      • Presidential Media Library
      • Presidential Lectures
      • Office of the President
      • President's Council
      • Leadership and Governance
      • Officers & Senior Management
      • Board of Governors
      • Board of Councilors
      • Organigram
      • Former Presidents
      • Policies, Rules & Procedures
      • History
      • OIST Promotion Corporation
      • Koji Omi
    • Publications and Reports
      • Procurement
      • Tender for Construction
      • Tender for Goods and Services
      • Procurement Regulations
      • Supplier Guidance (Japan)
      • Supplier Guidance (International)
      • Directions for Delivery & Sales
      • Electronic Procurement System
    • Whistleblower Report Hotline
      • Information Disclosure
      • Basic Information
      • Guidance on the Procedures for Information Access
      • Guidance on the Procedures for Personal Information Protection
      • Regarding the Private School Act
      • Regarding the School Education Act
      • Regarding Information Held by Independent Administrative Agencies
      • Regarding the provisions of the Document Management Act
      • Regarding the Personal Information Protection Act
      • Other
      • Health and Safety at OIST
      • Know Safety, No Pain
      • Health Center
    • OIST Clinic
      • Privacy Policy
      • Personal Information File Register
    • Research at OIST
      • Researchers and Research Units
      • Faculty
      • Research Units
      • Science and Technology Group
      • Buribushi Fellowship
      • Open Centers
      • OIST Center for Quantum Technologies
      • Open Center for Energy
      • Research Activities
      • Research Specialties
      • Conferences & Workshops
      • Annual Reports
      • Research News
      • Research Facilities
      • Core Facilities
      • OIST Marine Science Station
      • OIST Sea neXus
      • OIST Land neXus
      • Research Support
      • Research Funds
      • Library
      • OIST IR (Institutional Repository)
      • Core Facilities
      • Research Professional Development
      • Industry-Academia-Government-Finance Collaboration
      • Shohei Suzuki Research Safety Fund
      • Grants & Partnerships
      • Visiting Program
      • Academic Partnership
      • Institutional Grant Initiatives
      • Other Grant Initiatives
      • Academic Governance
      • Office of the Provost
      • Dean of Research Office
      • Office of Dean of Graduate School
      • Research Compliance
      • Research Integrity
      • Research Safety
      • Data Management
      • Compliance Initiative
  • Education
  • Admissions
  • Innovation
    • News
    • Media Coverage
    • Social Media
    • Podcast
    • To members of the press
    • Community and Education Outreach
    • Outreach News
    • Elementary School
    • Junior High School
    • High School
    • University
    • General Public
      • Our contribution to Okinawa
      • COVID Community Projects
      • OISTer Spotlight
    • SDGs
    • OIST Science Studio
      • Campus
      • Resource Center
      • OIST Clinic
      • Recreation Services
      • Shops and Restaurants
      • Childcare and Education
      • Housing
      • Community Facilities
      • Research Facilities
      • Ganjuu Wellbeing Service
    • Access
    • Parking
    • Event Venues
    • Tokyo Office
    • Seaside House
    • Marine Science Station
    • Open Positions
    • Faculty Positions
    • Background Check
    • HR Relocation
    • Diversity
    • Professional Development & Inclusion
    • FAQ
  • Education
  • Admissions
  • Innovation
  • About OIST
  • Facts and Figures
  • Publications and Reports
  • Whistleblower Report Hotline
  • OIST Clinic
  • Research at OIST
  • News
  • Media Coverage
  • Social Media
  • Podcast
  • To members of the press
  • Community and Education Outreach
  • Outreach News
  • Elementary School
  • Junior High School
  • High School
  • University
  • General Public
  • SDGs
  • OIST Science Studio
  • Access
  • Parking
  • Event Venues
  • Tokyo Office
  • Seaside House
  • Marine Science Station
  • Open Positions
  • Faculty Positions
  • Background Check
  • HR Relocation
  • Diversity
  • Professional Development & Inclusion
  • FAQ
  • President
  • Presidential Media Library
  • Presidential Lectures
  • Office of the President
  • President's Council
  • Leadership and Governance
  • Officers & Senior Management
  • Board of Governors
  • Board of Councilors
  • Organigram
  • Former Presidents
  • Policies, Rules & Procedures
  • History
  • OIST Promotion Corporation
  • Koji Omi
  • Procurement
  • Tender for Construction
  • Tender for Goods and Services
  • Procurement Regulations
  • Supplier Guidance (Japan)
  • Supplier Guidance (International)
  • Directions for Delivery & Sales
  • Electronic Procurement System
  • Information Disclosure
  • Basic Information
  • Guidance on the Procedures for Information Access
  • Guidance on the Procedures for Personal Information Protection
  • Regarding the Private School Act
  • Regarding the School Education Act
  • Regarding Information Held by Independent Administrative Agencies
  • Regarding the provisions of the Document Management Act
  • Regarding the Personal Information Protection Act
  • Other
  • Health and Safety at OIST
  • Know Safety, No Pain
  • Health Center
  • Privacy Policy
  • Personal Information File Register
  • Researchers and Research Units
  • Faculty
  • Research Units
  • Science and Technology Group
  • Buribushi Fellowship
  • Open Centers
  • OIST Center for Quantum Technologies
  • Open Center for Energy
  • Research Activities
  • Research Specialties
  • Conferences & Workshops
  • Annual Reports
  • Research News
  • Research Facilities
  • Core Facilities
  • OIST Marine Science Station
  • OIST Sea neXus
  • OIST Land neXus
  • Research Support
  • Research Funds
  • Library
  • OIST IR (Institutional Repository)
  • Core Facilities
  • Research Professional Development
  • Industry-Academia-Government-Finance Collaboration
  • Shohei Suzuki Research Safety Fund
  • Grants & Partnerships
  • Visiting Program
  • Academic Partnership
  • Institutional Grant Initiatives
  • Other Grant Initiatives
  • Academic Governance
  • Office of the Provost
  • Dean of Research Office
  • Office of Dean of Graduate School
  • Research Compliance
  • Research Integrity
  • Research Safety
  • Data Management
  • Compliance Initiative
  • Our contribution to Okinawa
  • COVID Community Projects
  • OISTer Spotlight
  • Campus
  • Resource Center
  • OIST Clinic
  • Recreation Services
  • Shops and Restaurants
  • Childcare and Education
  • Housing
  • Community Facilities
  • Research Facilities
  • Ganjuu Wellbeing Service
  • Giving Back to OIST
  • News
  • Contact Us
  • OIST Member Login
OIST Logo
Okinawa Institute of
Science and Technology
  • English
  • |
  • 日本語
header-logo-small
Select Language
Search
  • English
  • |
  • 日本語
close language switcher
search
close search

Breadcrumb

Home

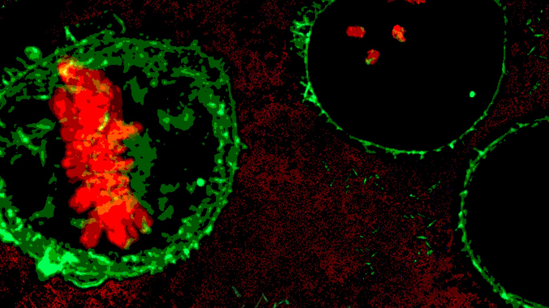
Prof. Kono Helps Uncover How Cells Split Smoothly

Prof. Kono Helps Uncover How Cells Split Smoothly
Date:
05 March 2019

Copyright OIST (Okinawa Institute of Science and Technology Graduate University, 沖縄科学技術大学院大学). Creative Commons Attribution 4.0 International License (CC BY 4.0).

Download full-resolution image
Share on:
x icon facebook icon linkedin icon mail icon

Related Images

Lab 2 parking lot

A bird’s eye view of the parking lot for LEV vehicles.
Shintake and co. with Electron Microscope Upon Delivery

Shintake and Co. with the Electron Microscope

Since March 5, members from Shintake’s (in red) group (right side) and Hitachi (left side), the manufacturer, have worked to put together Shintake’s electron microscope. This photo was taken before the microscope had its exterior casing put on. 
‘How Will Basic Science Save the World?’ Poster Contest Winner

‘How Will Basic Science Save the World?’ Poster Contest Winner

The Grand Prize went to Natsuko Hikiji, a student from Hiroshima University majoring in Physics, for her poster and presentation about using piezoelectric materials to produce green energy.
SCORE! Competition Winners

SCORE! Competition Winners

1st Prize went to Haruna Miyazato and Tomomi Shimabukuro from Okinawa National College of Technology (ONCT) for their project on manufacturing anti-aging cosmetics from the discarded peels of the Okinawan citrus fruit, shekwasa.

Japanese Coast Guard and Mitarai Unit members

Japanese Coast Guard and members from the Marine Biophysics Unit and Marine Science Resources Section work together to put the first piece of scientific equipment on the Coast Guard’s navigational buoys.
Giving to OIST Policy Library Information Disclosure Audits Whistleblower Report Hotline Social Media Access Site List
Linkedin icon
Linkedin
Flickr icon
Flickr
Facebook icon
Facebook
YouTube icon
YouTube
Instagram icon
Instagram
Vimeo icon
Vimeo
X (Twitter) icon
X (Twitter)
Bluesky icon
Bluesky
LINE icon
LINE
RSS Feed icon
RSS Feed

header-logo
Okinawa Institute of Science and Technology
1919-1 Tancha, Onna-son, Kunigami-gun
Okinawa, Japan 904-0495
Contact us
Subscribe to the OIST Mailing List The OIST graduate education and research program is cross-disciplinary and aims to be at the leading edge of research in science and technology.
Subscribe
Data Storage Acknowledgment:
Please note that the information you enter will be stored and processed on servers located outside of Japan. OIST is committed to handling your personal data in accordance with applicable privacy laws, including Japan’s Act on the Protection of Personal Information (APPI), and to taking appropriate safeguards.

Copyright © 2011-2026 Okinawa Institute of Science and Technology Graduate University
OIST Member Login Privacy Policy