未知なる脳の分子言語

脳のシナプスの分子組成を調べる新たな方法によって、これまで考えられていた3倍の数のタンパク質が存在することが明らかになり、その研究が米国科学アカデミー紀要(PNAS)に発表された。

ニューロンは、私たちの脳の電気配線のようなもので、外界からの情報を受信し、その情報を身体の他の部分に伝える役割を担っています。ニューロンが正しく機能するためには、ニューロン同士が「会話」をする必要があり、それはニューロン間の接続部として機能する特殊な構造物であるシナプスを介して行われます。シナプスはニューロン同士をつなぐだけでなく、このネットワーク内を流れるすべての情報を受信し、処理し、保存し、制御します。 このように、シナプスは私たちの身体の働きにおいて根本的に重要な役割を果たしています。シナプス内の障害は、私たちの記憶力、空間識、学習能力、注意力に影響を与えます。この障害は、アルツハイマー病、認知症、自閉症、注意欠陥・多動障害(ADHD)、パーキンソン病、てんかん、統合失調症などの多くの脳疾患の根源ともなっています。

シナプスの分子基盤については、これまで十分な情報が明らかになっていませんでしたが、米国科学アカデミー紀要(PNAS)に発表された新たな研究の成果が、その一助となるでしょう。この研究により、シナプス内のタンパク質に関する最も詳細で完成度が高い資料が出来上がりました。これは、脳疾患の早期診断、治療薬の特異的標的の同定など、将来の臨床医学研究に役立つ可能性があります。

沖縄科学技術大学院大学(OIST)の細胞分子シナプス機能ユニットのスタッフサイエンティストであり、論文の筆頭著者であるザカリ・タウフィック博士は次のように説明しています。「シナプスには多くの種類のタンパク質によって作動するしくみが存在し、その内容を理解することで、膨大な分子的・機能的な情報を得ることができます。シナプスプロテオームに関する現在の知見は、実際と大きく隔たっていることから、検出されていないタンパク質をもれなく検出する方法を開発しました。その結果、これまで検出されなかった多数のタンパク質と共に、新たなシナプスタンパク質も発見されました。」

神経細胞は、私たちの体内の電気配線のようなもので、シナプスでつながっている。シナプスは、情報伝達に重要な役割を果たしている。シナプス内には、シナプス小胞(SV)のような複雑な分子装置があり、それらが共同作業して神経伝達を適切に行うように機能している。今回の研究では、シナプスを構成するすべてのタンパク質を網羅するシナプスプロテオーム解析を行なった。
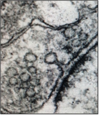
画像中の小さな丸い円がシナプス小胞(SV)。シナプス小胞は神経伝達物質を貯蔵しており、電気的刺激を受けると伝達物質をする。それによってシナプスを介して情報が伝達され、神経伝達に非常に重要な役割を果たす。
© Taoufiq Z. & Sasaki T. 2016

本共同研究グループには、OISTの他、マックスプランク生物物理化学研究所、同志社大学の研究者が参加しました。研究では組織抽出物内のすべてのタンパク質を網羅的に同定する従来の「プロテオミクス」解析法がより強力なものとして改良されました。この新しい方法では、タンパク質を構成するペプチド配列が新たに分離されました。研究グループは、これによって、構造が類似しているが機能が全く異なるタンパク質を区別して同定することが可能になると考えました。

2006年には、たった1つのタンパク質固有ペプチド配列からシナプスタンパク質が同定された。しかし、同じタンパク質に新しい方法を用いると多数の固有ペプチドが分離された。 

この方法によって得られた結果は驚くべきものでした。研究グループは、4439種類のシナプスタンパク質を同定しましたが、うち1466個がシナプス小胞(SV)タンパク質と同定されました。このSVタンパク質数は過去の報告数の3倍に当たります。研究グループは、このSVタンパク質をさらに詳しく調べることにしました。タンパク質を定量化して図で表し、最も豊富なものから最も少ないものまで順位を付けました。最多と最少のタンパク質の間には「100万倍もの差がありました」とタウフィック博士は言います。「わずかな種類のタンパク質が大量に発現していてSVタンパク質総量の90%を占めていますが、この他のSVタンパク質サブグループは極めて多岐にわたっています。シナプスプロテオームの構造を言語に例えると、よく使われる言葉(タンパク質)は少なく、使用頻度は低いが、より特異的で重要な意味を持つものが多数あります。」

タンパク質の未知の機能を明らかにする研究では、ニューロンを遺伝子操作して、特定のタンパク質の発現を抑制することが行われる。今回の研究の一例として、シナプス小胞の再利用に必要なSVタンパク質が同定されました。このタンパク質を欠損させると、シナプスの情報伝達精度が低下することが明らかになりました。興味深いことに、しばしば、発現量が少ないタンパク質が重要な機能を担っていることが分かりました。

研究グループは、新たに同定された多くのSVタンパク質の中に脳疾患に関連するものが多数あることを明らかにした。

「1466個のSVタンパク質の中から、200種類が脳疾患に関連することが分かりました。私が非常に驚き、興味深いと思ったのは、脳疾患の原因関連タンパク質の大部分が発現量が少ないためにこれまで検出されていなかった小胞タンパク質であったということです」とタウフィック博士は述べています。

その疾患の一つがアルツハイマー病です。現在、アルツハイマー病治療の臨床試験は99.6%が失敗しています。タウフィック博士は、アルツハイマー病様の症状が、異なるタンパク質の誤作動によって引き起こされている可能性を提唱しています。「今回の研究により、シナプス内の全種類のタンパク質のカタログができました。これは、脳内シナプスの局所的多様性と進化を研究する上に素晴らしい基盤を与えるでしょう。また、私たちの新しいプロテオミクス解析法は、患者固有の疾患の分子的原因を同定する鍵となるでしょう。これは、困難かつ重要な次の課題です。」

この研究には、タウフィック博士の他に、マックスプランク生物物理化学研究所のMomchil Ninov博士とReinhard Jahn教授、OISTの高橋智幸教授、アレハンドロ・ビジャールブリオネスさん、マイケル・ロイ博士、ハンイン・ワン博士、佐々木 敏雄さん、フランソワ・ボーシャンさん、同志社大学の森靖典准教授、吉田知史さん、髙森茂雄教授が参加しました。

専門分野

広報・取材に関するお問い合わせ
報道関係者専用問い合わせフォーム

シェア: